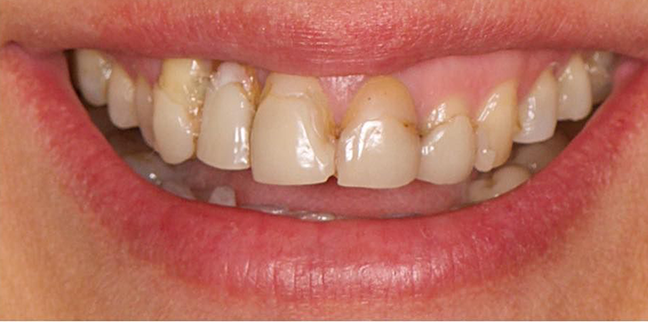
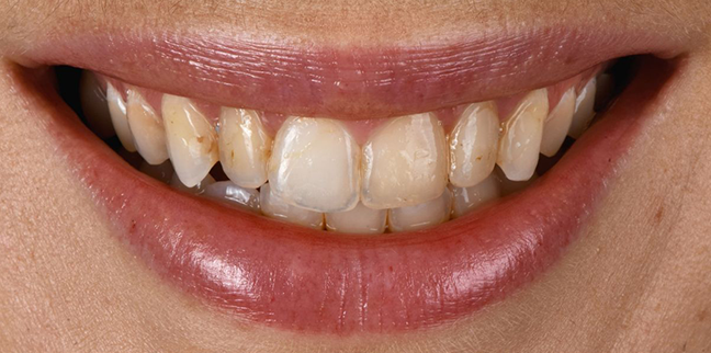
Her gülümseme bir hikâyedir…
Ulusoydent olarak, hastalarımızın estetik ve fonksiyonel ihtiyaçlarını bilimsel yaklaşımla değerlendiriyor, kişiye özel çözümlerle gerçek bir dönüşüm sağlıyoruz. Bu sayfada, kliniğimizde uygulanan gülüş tasarımı, lamine veneer, zirkonyum kaplama, implant ve daha birçok tedavinin öncesi ve sonrası sonuçlarını yakından inceleyebilirsiniz.









